マウスピース型矯正装置(アライナー)

【矯正治療のリスク副作用等】治療上のリスク副作用としてカリエス、歯根吸収、歯肉退縮、顎関節症、失活歯、クラック、根の露出、
骨隆起などが起こる可能性があります。このようなリスク副作用が起こらないよう、注意深く最善を尽くして治療しております。
費用につきましては、料金表をご参照ください。

当院では、マウスピース`矯正型矯正装置(アライナー)のため、3Dプリンター、バイオスターにより、院内で作成しております。口腔内スキャナーから得られた、歯牙のデジタルデータとCTデータ、デジタル写真データを、コンピュータに取り込み、診断をしております。これらのデーターをマウスピース矯正作成プログラムにより、歯牙の移動方向や移動距離、移動速度を設定し、経過模型を作成。治療途中で、再チェックを行い、治療方針の調整が必要な場合にはその都度再スキャンを行い、きめ細かい治療に取り組んでいます。このため、ほとんどの症例が治療でき、インターネットによる市販されているマウスピース矯正に比べ、患者様それぞれに最も適切で、良い治療ができるよう改良しております。費用についても、すべて当院で作成しているため、送料や委託費など技工所などへの経費が掛からないため低く抑えております。また、外科矯正治療、マルチブラケット治療、床矯正治療などは、知識と経験は、皆様に安心していただけるよう、研鑽を継続しております。
患者様が、望む治療法や、治療期間治療結果を含めた、総合的にもっともよい治療を考えております。また、マウスピース矯正をふくめた、いろいろな治療法を組合わせることも可能です。

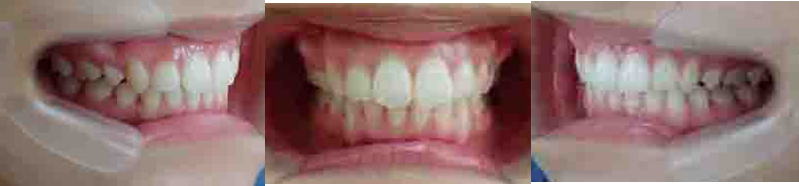
上下顎前突症例
`22才女性。上下の前歯が出ていることを主訴に来院。検査の結果上下顎前突の診断の下、上下左右第1小臼歯を抜歯して、マウスピース矯正により、治療を行った。道的治療移管は1年半ほどで、上下前歯が直立し、口唇の後退も得られております。

前歯が

治療前

マウスピース
治療開始時

下顎だけにブラケット
治療併用、ゴムも使用
可能です

治療後